INTERDISCIPLINARE

Aspecte practice în pareza facială la copil

Facial palsy in children - practical issues

Data publicării: 09 Mai 2016
Editorial Group: MEDICHUB MEDIA
10.26416/Orl.31.2.2016.134

Abstract

A variety of etiologies underlie the diagnosis of facial palsy in children. The aim of this paper is to bring into attention the complexity of the diagnosis and the multidiscilinary approach that needs to be taken to accurately diagnose and treat this condition in children, requiring a team that includes the pediatric neurologist, the ENT specialist, the oncologist, the neurosurgeon, the cerebral imagery specialist and ultimately the family and parents of the child. All these aspects will be exemplified by clinical cases.
 

Keywords
facialpalsymultidisciplinary

Rezumat

Pareza facială la copil poate avea etiologie variată, de multe ori nefiind idiopatică. Pentru diagnosticul și abordarea terapeutică adecvată este nevoie de o echipă multidisciplinară, formată din medicul neurolog pediatru, ORL-ist, oncolog, neurochirurg, imagist și, nu în ultimul rând, medicul de familie și părinți. Articolul are scopul de a ilustra, prin cazuri clinice, care au fost investigate din această perspectivă, complexitatea acestui diagnostic la copil. 
 
Cuvinte Cheie
pareză facială perifericămultidisciplinar

Introducere

Pareza facială este o afecțiune a nervului cranian VII, ce poate surveni în urma unei leziuni pe traiectul nervului, de la originea sa din nucleul facial din punte până la ramurile terminale de la nivelul feței. Se manifestă, din punct de vedere clinic, prin asimetrie facială, cu deficit de obicei unilateral, ipsilateral leziunii, al mușchilor mimicii faciale, atât în etajul superior, cât și în cel inferior al hemifeței afectate, cu lagoftalmie, coborârea comisurii bucale, ștergerea șanțului nazogenian, diminuarea mobilității comisurii bucale, semnul Charles Bell (încercarea de a închide ochiul determină devierea superioară a globului ocular), imposibilitatea de a fluiera și de a umfla obrazul, lipsa contracției mușchiului platysma, epifora, reflex cornean absent.

Diagnosticul topografic al leziunii depinde de asocierea hiperacuziei, a disgueziei și a semnelor de afectare a altor nervi cranieni cu traiect învecinat.

Pareza facială periferică trebuie diferențiată de cea centrală, întâlnită în leziunea fibrelor supranucleare. În acest caz, deficitul motor se limitează la etajul inferior al feței.

Pareza facială periferică este o afecțiune des întâlnită în practica neurologică, atât la adulți, cât și la copii. Cea mai frecventă formă la adulți pare a fi pareza facială Bell(1), idiopatică și care, în pofida simplității aparent diagnostice și terapeutice, continuă să pună semne de întrebare în privința etiologiei și a răspunsului la tratament. Cauzele de pareză facială cunoscute în prezent înglobează o multitudine de afecțiuni congenitale, metabolice, neoplazice, afecțiuni în sfera ORL, infecțioase, toxice, autoimune, traumatice și iatrogene(2,3). La copii, deși există cazuri de pareză facială periferică idiopatică, pentru a confirma acest diagnostic, pentru a evalua prognosticul și pentru abordarea conduitei terapeutice adecvate, este nevoie de investigații paraclinice complexe (tabelul 1): analize de laborator (hemograma, probe inflamatorii, serologie virală și pentru Borrelia burgdorferi, Mycoplasma pneumoniae; glicemie, hemoglobină glicozilată, hormoni tiroidieni), puncție lombară, urmată de analiza lichidului cefalorahidian (celularitate, biochimie, culturi, nivel de IgM și IgG, uneori chiar ADN viral), teste electrofiziologice (electroneurografie la nivelul nervului facial - latență motorie distală, amplitudinea CMAP, ce pot pune în evidență o leziune demielinizantă sau axonală a nervului; EMG - activitatea spontană: fibrilații, fasciculații, durata și amplitudinea PUM - potențialul de unitate motorie; traseu interferențial - pentru a analiza gradul de denervare/reinervare în teritoriul nervului lezat), utile atât în diagnosticul, cât și în prognosticul parezei, teste auditive, imagistică cerebrală (CT cerebral cu evidențierea stâncii temporale, IRM cerebral cu substanță de contrast)(4,5).

Un istoric de pareze faciale periferice recurente ridică suspiciunea unui sindrom Melkersson-Rosenthal, afecțiune neurologică cu debut de obicei în perioada de adult tânăr, ce asociază pareze faciale periferice recurente, infiltrație cutaneo-mucoasă a feței, în special a buzelor, și limbă plicaturată. Etiologia nu este suficient elucidată, putând exista un determinism genetic sau putând apărea secundar unor afecțiuni precum boala Crohn sau sarcoidoza.

Întrucât apariția unei pareze faciale la copil poate ascunde diagnostice complexe, vom ilustra, prin exemple din cazuistica secției noastre, unele dintre acestea.

 

Tabelul 1. Investigațiile paraclinice în funcție de etiologia suspectată
Tabelul 1. Investigațiile paraclinice în funcție de etiologia suspectată

Cazul 1

Pacienta C.L., în vârstă de 2 ani, a fost internată pentru pareze faciale de tip periferic recurente. Antecedentele heredocolaterale erau nesemnificative. Din istoric reținem debutul în perioada de sugar, la două luni, cu pareză facială periferică stângă. Au urmat încă patru episoade de pareză facială periferică alternativ dreaptă și stângă, la intervale de câteva luni. La internare, examenul clinic și cel neurologic al copilului au fost normale, cu excepția parezei faciale periferice stângi. Analizele de laborator, înglobând hemogramă, parametri biochimici, probe inflamatorii, au fost în limite normale. Serologia pentru Borrelia, HSV, Coxsackie, HIV și VDRL a fost negativă. S-a efectuat puncție lombară, care nu a evidențiat modificări biochimice sau de celularitate, iar culturile din lichidul cefalorahidian au fost negative. S-a efectuat IRM cerebral, care a fost în limite normale. Diagnosticul pozitiv în acest caz a fost de sindrom Melkersson - Rosenthal, formă oligosimptomatică. Particularitatea cazului constă în apariția simptomelor la vârsta de sugar.

Cazul 2

Pacienta C.B., în vârstă de 3 ani, a fost internată pentru diplegie facială, instalată la două săptămâni după un episod de stomatită aftoasă. La internare, copilul se afla în evoluția unei afecțiuni acute respiratorii, iar la examenul neurologic prezenta diplegie facial periferică. Din punct de vedere paraclinic, hemograma, probele inflamatorii și parametrii biochimici au fost în limite normale. Serologia de HSV1, IgM și IgG, a fost pozitivă. Diagnosticul pozitiv a fost de diplegie facială secundară infecției cu HSV1.

Cazul 3

Pacientul A.P., în vârstă de 10 luni, cu antecedente heredocolaterale și personale nesemnificative, a fost internat pentru asimetrie facială recent instalată. Din istoric reținem un episod respirator acut ce a precedat asimetria facială. Examenul clinic a fost normal. La examenul neurologic s-a constatat pareză facială periferică stângă. S-a efectuat consult ORL, care a fost în limite normale. Sub tratament cortizonic și recuperare medicală, nu s-a constatat ameliorarea deficitului neurologic, motiv pentru care s-a efectuat IRM cerebral cu substanță de contrast, care a evidențiat o formațiune tumorală la nivelul lobului temporal drept, motiv pentru care pacientul a fost îndrumat către neurochirurgie.

Cazul 4

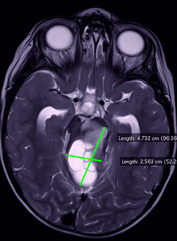
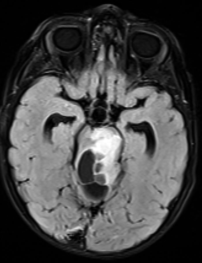
Pacientul I.T., în vârstă de 2 ani și 7 luni, fără antecedente heredocolaterale sau personale semnificative, s-a internat pentru asimetrie facială remarcată de la naștere, asociată cu laterocolis drept. Anterior cu o lună față de internarea curentă a fost evaluat neurologic, fiind observat un frust deficit la nivelul hemicorpului drept. La internare, examenul clinic a fost normal. Examenul neurologic a evidențiat pareză facială dreaptă de tip central și frustă hemipareză dreaptă. S-a efectuat IRM cerebral cu substanță de contrast, ce a evidențiat o formațiune tumorală, posibil astrocitompilocitic la nivelul trunchiului cerebral (figurile 1 și 2).

Figura 1. IRM cerebral secvență T2 ponderată, secțiune transversală, formațiune tumorală la nivelul trunchiului cerebral (imagine din arhiva secției de Neurologie Pediatrică a Spitalului de Copii „Dr. Victor Gomoiu” București)
Figura 1. IRM cerebral secvență T2 ponderată, secțiune transversală, formațiune tumorală la nivelul trunchiului cerebral (imagine din arhiva secției de Neurologie Pediatrică a Spitalului de Copii „Dr. Victor Gomoiu” București)
Figura 2. IRM cerebral secvență T1 ponderată, secțiune transversală, formațiune tumorală la nivelul trunchiului cerebral (imagine din arhiva secției de Neurologie Pediatrică a Spitalului de Copii „Dr. Victor Gomoiu” București)
Figura 2. IRM cerebral secvență T1 ponderată, secțiune transversală, formațiune tumorală la nivelul trunchiului cerebral (imagine din arhiva secției de Neurologie Pediatrică a Spitalului de Copii „Dr. Victor Gomoiu” București)



Discuții și concluzii

Prin cazurile prezentate, aducem în atenție faptul că pareza facială la copil este un diagnostic complex, putând ascunde cauze cu implicații importante asupra prognosticului pacienților. Diagnosticul corect, precum și abordarea terapeutică adecvată necesită o abordare multidisciplinară, cu participarea specialităților de neurologie pediatrică, pediatrie, boli infecțioase, ORL, imagistică, oncologie, neurochirurgie, recuperare medicală. 

 

Bibliografie


1. E. Peitersen, Bell’s palsy: the spontaneous course of 2,500 peripheral facial nerve palsies of different etiologies, Acta Otolaryngol Suppl. 2002;(549):4-30.
2. A.C. Jenke, L.M. Stoek, M. Zilbauer, S. Wirth, P. Borusiak: Facial palsy: Etiology, outcome and management in children, European Journal of Neurology, Volume 15, Issue 3, 2011, Pages 209–213.
3. CG Jackson, PG von Doersten: The facial nerve. Current trends in diagnosis, treatment, and rehabilitation, Med Clin North Am. 1999;83(1):179.
4. D.C Taylor: Bell Palsy, http://emedicine.medscape.com/article/1146903-overview,  Medscape.
5. N.J Holland, G. M Weiner: Recent developments in Bell’s palsy, BMJ. 2004 Sep 4; 329(7465): 553–557. 
Articole din ediția curentă

EDITORIAL

Sunt mulţi oameni cărora le place să li se pună întrebări și să-și împărtășească cunoștinţele. În special aceia care au cunoștinţe de valoare.

Mădălina Georgescu
Sunt mulţi oameni cărora le place să li se pună întrebări și să-și împărtășească cunoștinţele. În special aceia care au cunoștinţe de valoare....
ATLAS DE PATOLOGIE ȘI TRATAMENT CHIRURGICAL

Abstracte ORL

Abstracte Congres ORL Pediatrie...
ATLAS DE PATOLOGIE ȘI TRATAMENT CHIRURGICAL

Sfenoidotomia endoscopică

I. Bulescu, Cristian Ioniţă, A. Coman, A. Panfiloiu, Andreea Nicoleta Costache, Alexandra Guligă, Vlad Andrei Budu, Tatiana  Decuseară, Mihai Tușaliu
Odată cu dezvoltarea tehnicilor chirurgicale endoscopice, cunoaşterea în detaliu a datelor de anatomie locală nazosinusală reprezintă un element esenţial pentru chirurgul practician. În lucrarea de fa...
Articole din edițiile anterioare

INTERDISCIPLINARE

Abordarea modernă a tratamentului paradontitei apicale cronice - review al literaturii

Irina-Maria Gheorghiu, Paula Perlea, Alexandru Iliescu, , Loredana Mitran
Articolul de faţă trece în revistă literatura de specialitate în privinţa concepţiei actuale despre tratamentul parodontitei apicale cronice. Abordarea endodontică conservatoare reprezintă un aspect important, deoarece f...
INTERDISCIPLINARE

Consideraţii diagnostice în cazul unui sindrom Guillain-Barré

M. Bălănescu, D.C. Gheorghe, Adina A. Zamfir-Chiru-Anton
Autorii prezintă un caz clinic de debut al sindromului Guillain-Barré, mimând perfect simptomatologia unei infecții respiratorii acute, în particular a unei laringite acute subglotice, la un copil de 1 an și 4 luni. Diag...
OTONEUROLOGY

Managementul integrat al vertijului la pacientul pediatric – de la patologie ORL la migrenă şi epilepsie

Smaranda Niță, Eugenia Roza, Raluca Ioana Teleanu
Vertijul este un simptom des întâlnit în neurologie, fiind prezent şi la copii. O cunoaştere temeinică a posibilelor cauze poate uşura procesul de diagnostic şi poate îndruma atitudinea terapeutică. E...